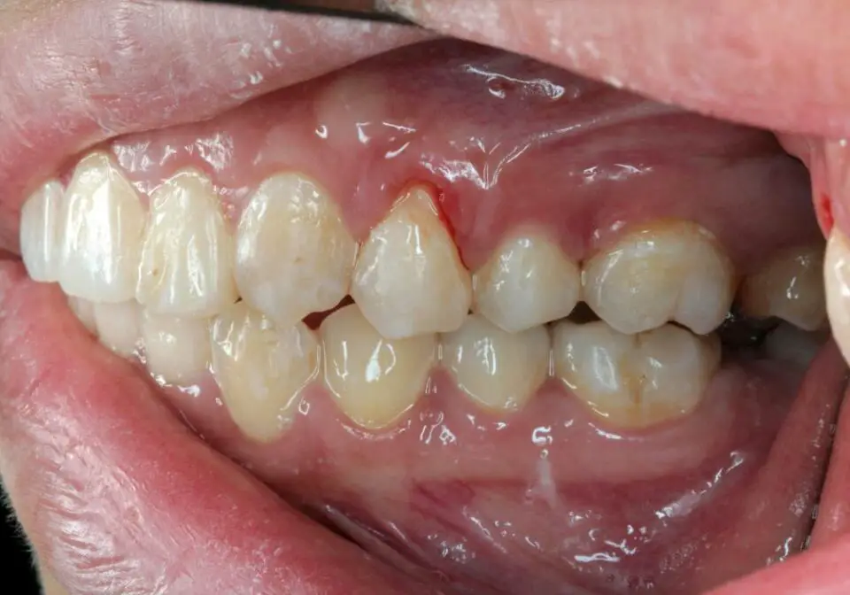
If the gums recede too much, it may result in bone loss, which can cause teeth to loosen or fall out. Forceful or incorrect brushing Regular brushing is essential for maintaining good oral hygiene.. Receding gums may be caused by a number of factors, including: aggressive brushing over the long term. hardened plaque buildup (tartar) smoking. hormonal changes in women. family history of gum.
How Far Can Gums Recede Before Teeth Fall Out? (Causes, Symptoms, & Treatment)
Why Your Gum Line Recedes Park 56 Dental
إذا كنت تعاني من نزيف اللثة فإليك الأسباب.. تعرف عليها الدليل الطبي Altebby
Are my gums receding? Dentistry
How to Fix receding Gums? Museum Dental Center Los Angeles
Stop and Cure Reciding Gums Gum treatment, Receding gums, Gum recession treatment
How Far Can Gums Recede Before Teeth Fall Out? (Causes, Symptoms, & Treatment)
How Far Can Gums Recede Before Teeth Fall Out? (Causes, Symptoms, & Treatment)
Pin on Tips and Tricks
Receding Gums Symptoms, Diagnosis, Causes, and Treatment
Receding Gums Common Dental Conditions Premier Dental
Is gum shrink after dental implant Dental News Network
Can gums that have started to recede grow back? West Houston Periodontics and Dental Implants
How Far Can Gums Recede Before Teeth Fall Out? (Causes, Symptoms, & Treatment)
Can Brushing My Teeth Too Hard Cause My Gums to Recede?
Gum Recession CreateSmiles by Dr. Brad Lockhart Tustin Dentist
How Far Can Gums Recede Before Teeth Fall Out? (Causes, Symptoms, & Treatment)
4 remedios naturales que le ayudarán a reparar la retracción de las encías
Stadsklev Dental Blog What is Gum Recession and Why is it a Concern?
GUM RECESSION SURGERY Connective Tissue Graft Dr. Allen
Gum recession is when your gum tissue pulls away from your teeth, exposing the roots underneath. It’s caused by a number of factors, including aggressive brushing, smoking and even genetics. Treatments include antibiotics, antimicrobial mouth rinses and surgery. Gum recession can’t be reversed, but treatment can prevent it from getting worse.. The gums may become unsightly and eventually fall away if you have periodontitis, the advanced stage of periodontal disease. Pulling apart of the gum and connecting tissues exposes the tooth’s root and creates a space in which germs can thrive. As time passes, the irritation gets worse due to the germs.